| 文档名称 | 文档版本 | 编写时间 |
|---|---|---|
| 阅片工具软件使用文档 | V3.10 | 2025/06/18 |
1、阅片
在数据列表中点击预览图可启动阅片工具打开影像图,也可以在诊断或审核中使用阅片工具。
阅片界面上方工具栏提供了丰富的图像标记工具,用于阅片时,标记操作图像。阅片界面及阅片工具简介如下:

1.1、隐藏/显示序列缩略图
:该按钮用于隐藏或显示左侧的序列缩略图,当前序列缩略图是显示状态,点击该按钮后,序列缩略图被隐藏,如下图:

- 鼠标放在在图像上,按住鼠标中键,上下滚动滑轮,可以查看本序列其他图像。
2、测量工具
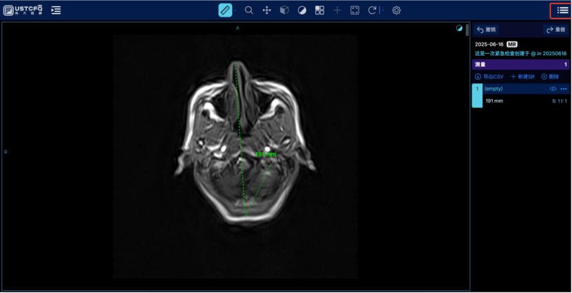
2.1、长度
此功能为测量工具的默认功能。点击“长度”按钮,鼠标放在图像上,按住鼠标左键,拖动鼠标,绘制一条直线,松开鼠标左键(或者鼠标点击需要测量的两点)即绘制一条直线,并显示直线长度;鼠标移到该线段上,当颜色变成绿色时,可以移动该线段。

鼠标放在线段任一端,出现
形状,可以增加或缩短线段长度和位置;选中线段,右键选择“删除标记”,即可删除线段。

2.2、更多测量工具
点击“更多测量工具”按钮,可以更换测量工具。

2.2.1、双向
点击“双向”按钮,用户可以在图像上绘制两条垂直的测量直线,其中长为宽的两倍。点击鼠标左键选择绘制起点,松开鼠标左键会确定绘制终点。同样的,绘制标注旁有绘制直线长和宽的标注

l 十字叉直线为绿色时,选中十字叉直线,可以移动十字叉直线。
l 鼠标移动到十字叉四个角,可以改变十字叉长短和位置。
l 选中十字叉上的标注数字,按住左键移动,可以改变标注位置
2.2.2、注释
点击“注释”按钮,鼠标放在图像上,按住鼠标左键,拖动鼠标,绘制一条带箭头的直线,松开鼠标左键(或者鼠标点击需要测量的两点)弹出注释编辑框,输入注释内容,确定后,即绘制一条带箭头和标记的注释


鼠标移到该箭头上,当颜色变成绿色时,可以移动该箭头。
鼠标放在箭头任一端,出现
形状,可以增加或缩短箭头长度和位置。
2.2.3、椭圆
点击“椭圆”按钮,鼠标左键点击图像,选择区域的起点,松开鼠标左键后,确定区域的终点,并会在图像中标注出椭圆区域,如下图

在区域旁会标注出椭圆区域的面积Area,椭圆区域内的图像像素均值Mean,椭圆区域内的图像像素的标准方差Std Dev
通过鼠标左键选中标注的椭圆区域,当标注线变为绿色的时候,可以对椭圆区域进行拖动,标注信息也会随之更新。
选中椭圆,右键选择“删除标记”,即可删除椭圆区域。
2.2.4、矩形
点击“矩形”按钮,选择矩形区域的起点,松开鼠标左键后,确定矩形区域的终点,并会在图像中标注出矩形区域,如下图

与椭圆形区域一样,矩形区域也可以进行拖动,并且更新标注信息。
选中矩形,右键选择“删除标记”,即可删除矩形。
2.2.5、圆
点击“圆”按钮,鼠标左键点击图像,选择圆形区域的起点,松开鼠标左键后,确定圆形区域的终点,并会在图像中标注出圆形区域,如下图

在感圆形区域域旁会标注出感兴趣区域的面积Area,圆形区域内的图像像素均值Mean,圆形区域内的图像像素的标准方差Std Dev
通过鼠标左键选中标注的圆形区域,当标注线变为绿色的时候,可以对圆形区域进行拖动,标注信息也会随之更新。
选中圆,右键选择“删除标记”,即可删除圆。
2.2.6、多边形
点击“多边形”按钮,鼠标左键点击图像,选择多边形区域的起点,松开鼠标左键后,确定多边形区域的终点,并会在图像中标注出多边形区域,如下图

2.2.7、曲线
点击“曲线”按钮,鼠标左键点击图像,选择曲线围绕区域的起点,松开鼠标左键后,确定曲线围绕区域的终点,并会在图像中标注出曲线围绕区域,如下图

3、缩放
点击“缩放”按钮,鼠标放在图像上,按住鼠标左键,向上拖动即缩小图像,向下拖动,即放大图像。

4、移动
点击“移动”按钮,鼠标放在图像上,按住鼠标左键,任意方向拖动鼠标,可以任意方向移动图像。
5、旋转
启动体积投影后,可使用该功能移动渲染后端模型,并可以旋转3D模型。
6、窗位
点击“窗位”按钮,鼠标放在图像上,按住鼠标左键,上下左右拖动,即可调节图像窗宽窗位。

7、上传
点击“上传”按钮,当前图像即上传到图像资源库中,查看右侧关联资源,即可查看已上传的图像。如下图

***注意:***此功能仅在诊断/审核过程中使用。
8、显示窗口
点击“显示窗口”按钮,可以选择所有序列图像的布局。选择需要显示的序列个数后,图像显示窗口会自动更新,如下图

8.1、常用布局
可以选择11,12,22,23默认布局,也可以自定义布局,鼠标悬停可选择行和列,单机可应用。

8.2、高级
8.2.1、MPR
MPR:多平面重建,是将扫描范围内所有的轴位图像叠加起来再对某些标线标定的重组线所指定的组织进行冠状、矢状位、任意角度斜位图像重组。
点击该按钮,显示如下图:
A所在的图像标记为图像1、B所在的图像标记为图像2、C所在的图像标记为图像3。可以对任意图像,进行任意方向旋转定位和任意方向移动定位。

8.2.2、3D
体积投影,是将扫描范围内所有的轴位图像叠加起来重建,右上方3D、主视图3D、主视图3D、只展示3D、优先3D则是将体积投影放在不同的视图中。显示如下图:


8.2.2.1、渲染预设
使用后,在体积渲染功能中,可以选择不同的默认渲染预设。

8.2.2.1.1、渲染选项
使用后,在体积渲染功能中,可以选择不同的渲染预设值。

9、十字线
启动MPR功能后,点击“十字线”,MPR的三幅影像图中,都会出现十字线,点击移动一幅图像中的十字线,其他影像中的十字线都会移动到对应的位置。

十字线上方有两个圆形按钮,使用鼠标点击外围圆点,可以旋转当前的十字线,同时MPR其他视窗中的十字线,也会同步移动,方便定位。

使用鼠标点击内侧圆点,可以调整影像中的窗位,同时MPR其他视窗中的十字线,也会同步调整窗位,方便查看不同器官。

10、角信息
角信息,可显示隐藏胶片信息,显示如下图:

11、复原和更多工具
11.1、复原
点击“复原”按钮,可以对操作后的图像进行复原,比如调整窗宽窗位、放大了图像、上下翻转、左右翻转、顺时针旋转、选择对比度、灰度翻转等,点击复原按钮,图像会恢复到原始状态。
11.2、更多工具
点击“更多工具”按钮,显示更多隐藏功能。

11.2.1、顺时针旋转
可以对当前序列的所有图像进行旋转操作,每次旋转的角度为90度,旋转4次图像恢复原样。
11.2.2、水平翻转
用户可以对当前序列的所有图像进行左右的翻转操作,点击两次左右翻转,图像恢复原样。
11.2.3、灰度反转
灰度反转:将影像图像的窗位值都进行了反转操作;
11.2.4、连续播放
连续播放:点击

,开始播放当前序列的所有图像,

表示播放当前图像的前一张图像,
表示播放当前图像的后一张图像,点击
可以调整播放的帧率 。
11.2.5、影像联动
影像联动:同时播放多张序列影像。
11.2.6、参考线
参考线:在MPR影像中,会在影像中显示一条绿色的参考虚线,用于定位,如下图:

11.2.7、覆盖层
覆盖层:会显示一些特殊影像的注册。
11.2.8、滑动切换图层
滑动切换图层:点击该按钮后,鼠标放在在图像上,按住鼠标左键,上下拖动,可以查看本序列其他图像。
11.2.9、探针
- 探针:用户可以通过探针获取图像信息。点击该按钮后,鼠标放在图像上,按住鼠标左键,拖动鼠标,即可获取探针所在点的坐标信息和”SP”、”M0”信息 。

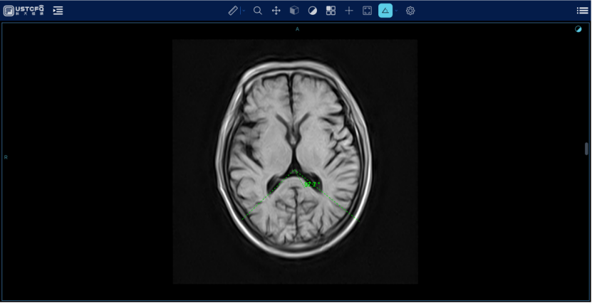
11.2.10、角度
角度:点击该按钮,鼠标放在图像上,按住鼠标左键,拖动鼠标,绘制角度,并显示角度大小。

l 鼠标移到该角度上,当颜色变成绿色时,可以移动该角度。
l 鼠标放在角度任一端,出现
形状,可以增加或缩短角度大小和位置。
l 选中角度,右键选择“删除标记”,即可删除角度。
11.2.10、Cobb角
是一个测量侧弯曲角度的方法,用于评估脊柱侧弯的严重程度,点击该按钮后,按照脊椎依次点击数,可显示多个角度值。

11.2.11、放大镜
放大镜:点击该按钮后,鼠标放在图像上,按住鼠标左键,可以对图像进行局部放大,如下图:

11.2.12、校准
刻度线:可实时测量并显示当前影像的刻度。

11.2.13、标签信息
标签信息:查看DICOM影像数据信息,如下图:

11.2.14、放大探针
放大探针:可将放大的部位固定在窗口,如下图:

11.2.15、窗位区域
使用鼠标画出区域,将特定 CT 值设为灰度显示范围的中心点,调整该值可控制图像的整体亮度。
11.2.16、版本切换
版本切换:阅片工具的版本切换为V2。也可以从V2版本切回V3版本。

12、设置
设置:可修改用户偏好,其中的标记设置,可设置是否连续标记。如下图:

13、智能分割功能
本智能分割功能通过在服务器端训练深度学习模型实现。用户通过界面交互进行标注的过程,将持续驱动模型优化升级。临床医生、技术人员及标注人员等用户将直接受益:模型通过持续学习用户意图,其智能分割的精度与理解能力不断提升。这不仅能显著降低新数据集的标注成本,更能让模型动态适应实际任务需求,实现越用越智能的分割体验。


13.1、服务器
使用AI只能分割功能时,自动连接到AI服务器,获取分割配置,进行智能分割。如果连接异常时,可尝试点击右侧的“刷新服务配置”功能尝试重新连接服务器。

13.2、智能分割
选择模型:系统提供预训练模型支持,实现端到端的全自动分割流程。服务器内置两套默认模型,用户只需选择模型并点击运行,即可基于当前模型自动完成分割任务,操作简单高效。

13.3、分割工具
设置:点击右侧的齿轮图标,可显示分割的设置。
- 显示:可选择“填充和轮廓”、“仅轮廓”或“仅填充”。 用于切换分割结果可视化样式(填充区域 / 轮廓线),方便观察分割边界与整体范围;
- 不透明度: 调节分割结果层的透明程度,避免遮挡原始图像细节,辅助精准标注。
- 边框:控制分割轮廓线的宽度,让边界展示更清晰,尤其在多组织 / 病灶分割时,便于区分不同区域。
- 显示非活动的分割:选中后,调节选中视图分割标注的显示透明度,让界面聚焦当前标注。
分割内容:

系统提供多种标识工具,在用户尝试手动分割时使用。
- 插值标签图:自动填充绘制的分割之间缺失的切片。在至少两个切片上使用刷子或间值工具,然后单击在切片之间插值。可以在任何方向上工作。体积必须是可重建的。
- 双向分割:自动检测所选分割在切片上最大的长度和宽度,并显示双向测量。
- 刷子:可针对局部位置进行分割标注。
- 橡皮擦:清除分割标注的内容
- 阈值工具:通过不同器官的灰度分布进行默认分割标注,工具可设置形状和半径,阈值可设置动态调整,或者手动调整范围。
- 形状:可以选择圆形、球体、矩形在影像中进行标注。

13.4、分割内容
分割任务:下拉列表可切换不同分割任务;点击任务左边的三点,可以创建新的分割或者管理当前分割。

- 创建新的分割: 支持创建新分割任务;
- 从视图中删除: 将当前的分割任务的标注从视图中删除,下次还可以使用;
- 重命名:修改当前分割任务的名称;
- 保存:保存为SEG文件,方便下次直接点击查看分割内容;
- 删除:删除当前的分割任务;

添加分段:支持在当前任务中创建新的标注。

- 创建新的分割: 支持创建新分割任务;
- 隐藏/显示: 将当前的分割任务的标注从视图中显示/隐藏;
- 重命名:修改当前分段的名称;
- 删除:删除当前的分段;
- 更改颜色:调整当前分段的颜色;
14、显示颜色条
使用后,可调整影像的W/L值,如下图

14.1、颜色查找表
使用后,可调整影像的颜色,如下图

15、测量跟踪
使用后可以跟踪记录测量数值。并可将数值导出CSV格式。

